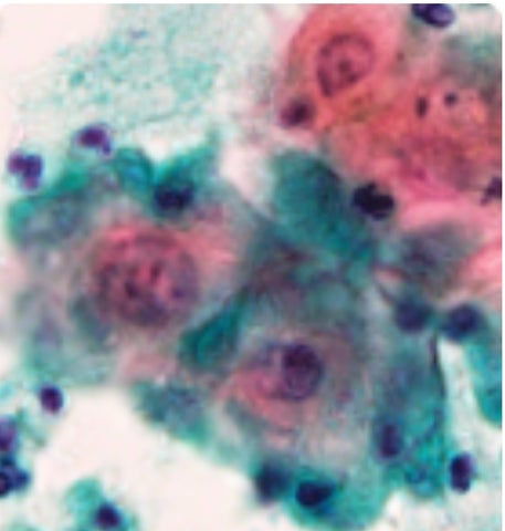
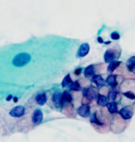
- 日本臨床細胞学会が10周年を迎え、「細胞アート展」を開催中
- 2024年6月9日に大阪で「細胞診体験ワークショップ」開催
- 子供から高校生向けで、自分の細胞を観察し学ぶ
日本臨床細胞学会が10周年を迎え、「細胞アート展」を開催しています。
2024年6月9日には大阪で「細胞診体験ワークショップ」が行われ、小学生から高校生までが参加できます。
体験では自分の細胞を観察し、細胞診の仕組みを学びます。
また、写真展も開催され、細胞をアートの視点で楽しむことができます。
細胞診はがんの早期発見や治療に貢献し、子宮頸がん検診などにも利用されています。
日本臨床細胞学会は細胞診専門医や細胞検査士の認定を行い、細胞診を通じて健康維持に貢献しています。
また、Webサイト「細胞アートクルーズ」は体内の細胞を探索する楽しいコンテンツとなっています。










- イベント
- 細胞アート展、細胞診体験ワークショップ
- 会社
- 日本臨床細胞学会
- 場所
- 大阪
引用元: https://prtimes.jp/main/html/rd/p/000000006.000139559.html

